BePop

Archives Aprile 2020

Benvenuto al nuovo partner “Terra Argillosa”! Dalla vite al calice…il vino quello buono!

Diamo il benvenuto al nostro nuovo partner Shop, Terra Argillosa!

La cantina si trova presso Contrada Ciafone, 97 a Offida.

Telefono: 0736 099976. Email: info@terrargillosa.com. Sito internet: https://terrargillosa.com/

Per visitare la pagina facebook clicca https://www.facebook.com/TerraArgillosa/

 

 

Lavagettone, continua l’offerta sui piumoni! Inoltre, 5 mascherine lavabili a 10 euro e una in omaggio!

Novità della settimana da Lavagettone! Potrai avere 5 mascherine lavabili a 10 euro e ne riceverai una in omaggio!

Inoltre, prosegue l’offerta sul piumone! Lavagettone te lo lava e igienizza a soli 15 euro e, se non hai spazio in casa, puoi lasciarlo in deposito presso la lavanderia da maggio a ottobre, per soli 5 euro in più!

Lavagettone ha attivato servizio di ritiro e consegna gratuito!

La lavanderia verrà a ritirare tutti i tuoi capi da lavare, trattare e stirare direttamente a casa tua (o presso il tuo hotel/residence). Te li riconsegnerà in giornata senza alcun sovrapprezzo!

Che aspetti?! Tu resta a casa, al bucato ci pensa Lavagettone!

Puoi trovare la lavanderia sulla app MYPUSHOP per avere sconti e promozioni. È semplicissimo! Scarica la app http://mypu.shop/Xbebd5b segui Lavagettone e ottieni subito uno sconto di benvenuto del 10% su tutti i servizi!

 

Per informazioni chiama o scrivi su whatsapp al numero 393 362 3691. La lavanderia si trova in via C. L. Gabrielli 26 a San Benedetto del Tronto.

Alla pizza non si rinuncia mai! Da 300 Gradi attivo il servizio a domicilio e take away!

Rendi gustoso il tuo weekend con una buona pizza!

Alla Pizzeria 300 Gradi è attivo il servizio di consegna a domicilio e il take away. La pizza arriverà a casa tua o potrai scegliere di ordinarla e passare a ritirarla direttamente al locale.

Entrambi i servizi sono previsti per i giorni Venerdì – Sabato – Domenica, dalle 19:30 alle 21:30

Chiama il numero 348 2354648, ordina la tua pizza preferita e gustala comodamente a casa tua!

Ecco il menù:

Nessuna descrizione della foto disponibile.

La consegna e l’asporto rispetteranno tutte le normative in merito a distanza di sicurezza e al pagamento che dovrà essere effettuato solamente tramite carta e non in contanti.

In caso di consegna, potrai pagare tramite carta grazie al POS portatile.

 

La pizzeria “300 Gradi” si trova in via Dante Alighieri 47 a Grottammare. Per visitare la pagina facebook clicca m.facebook.com/TrecentoGradiGrottammare

Mr Jones, pizze e stuzzicherie a domicilio e d’asporto!

Il Mr Jones continua a starti vicino, offrendo un servizio sempre di alta qualità!

Da questa settimana, oltre al servizio di consegna a domicilio, c’è la possibilità di prendere le tue pizze e stuzzicherie preferite anche d’asporto!

Chiama il numero 0735 659080 oppure scrivi direttamente attraverso messaggio sulla pagina Facebook: www.facebook.com/mr.jones.sbt/ e concorda la consegna a casa tua o l’ora del ritiro al locale.

Ecco il menù:

Nessuna descrizione della foto disponibile.

Il locale si trova in via Fratelli Cervi 21, Porto d’Ascoli (zona Sentina).

Ristorante San Giacomo, il sapore della tradizione a casa tua!

Una tradizione culinaria ricca di tipicità del territorio, dove il sapore si intreccia con la storia.

Materie prime scelte, come carni pregiate degli allevamenti marchigiani, pesce fresco del vicino mare Adriatico, prodotti tipici dei territori confinanti dell’Abruzzo e dei Monti Sibillini.

Tutto ciò è il Ristorante San Giacomo, che porta il gusto della tradizione direttamente a casa sua, grazie al servizio di consegna a domicilio e asporto.

Ecco la proposta gastronomica di questo fine settimana (giovedì, venerdì, sabato e domenica)

Nessuna descrizione della foto disponibile.

Puoi ricevere a casa i tuoi piatti preferiti o prenotarli e prenderli d’asporto direttamente al ristorante. Ti basterà chiamare il numero 073562545.

Al momento, le zone di consegna sono Monteprandone, Centobuchi e San Benedetto.

 

Il Ristorante San Giacomo si trova in via Giacomo Leopardi, 10, a Monteprandone. Per scoprire di più visita il sito internet https://www.ristorante-sangiacomo.it/

Trovi il ristorante anche su facebook https://www.facebook.com/RistoranteSanGiacomo/ e su instagram

 

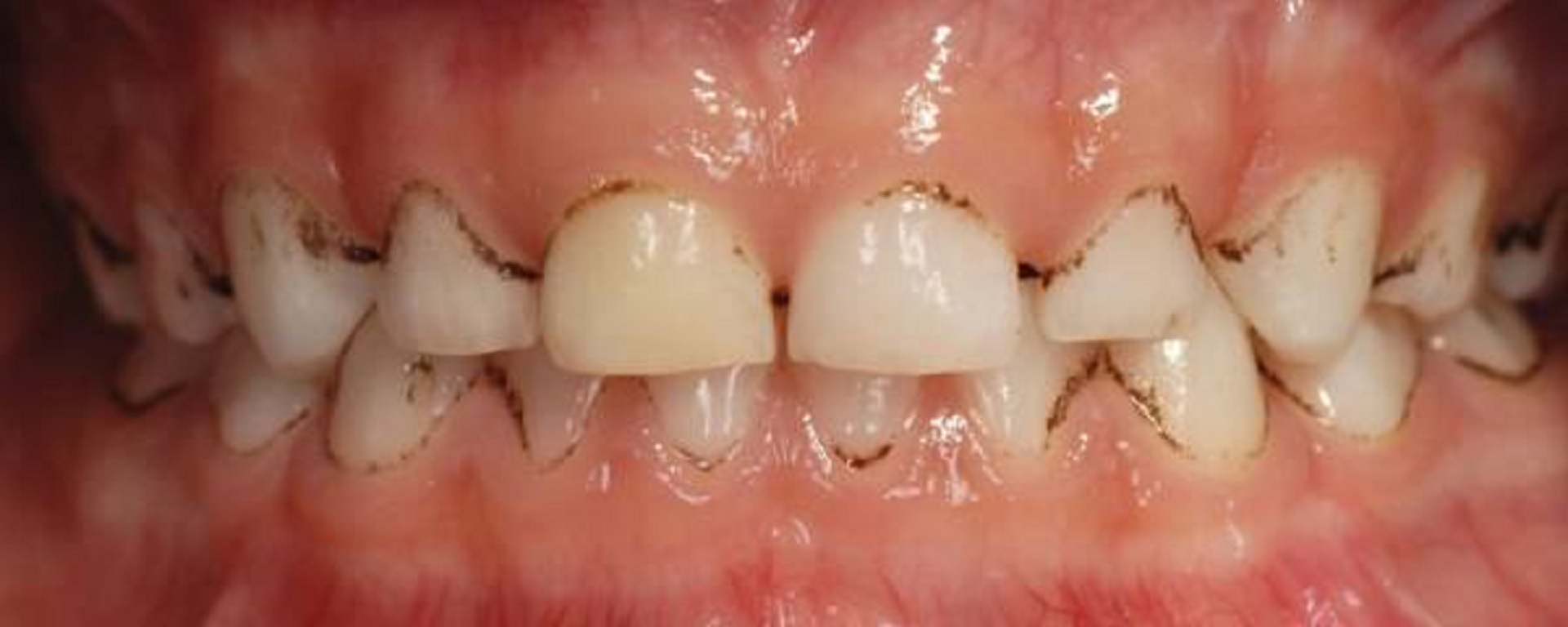
Black Stains, di cosa si tratta? Parola allo studio dentistico Sanbenedetto srl

Hai notato delle macchiette nere come quelle in foto sui tuoi denti o su quelli dei tuoi bambini nonostante laviate i denti?

Potrebbe trattarsi di black stains, lo studio dentistico Sanbenedetto ti spiega di cosa si tratta.

Si tratta di una colorazione endogena, caratterizzata da punti neri ad aspetto lineare tipicamente non coalescenti, localizzata prevalentemente sul colletto del dente vicino la gengiva . Si ritiene che il pigmento scuro derivi dall’interazione tra batteri cromogeni (in particolare Actynomices) e il ferro presente all’interno del cavo orale.

L’elevata concentrazione di ioni ferrici nella saliva è causata da disordini dell’omeostasi del ferro che consistono nel sovraccarico di ferro nei tessuti e secrezioni e nella carenza di ferro in circolo. Inoltre, il regolare consumo di alimenti ricchi in ferro e di integratori contenenti ioni ferrici, durante la gravidanza o la prima infanzia, favorisce lo sviluppo di un microbiota cromogeno.

Il back stains può interessare sia i denti decidui (con una prevalenza che varia dal 2 al 16%) che quelli permanenti ma tende a regredire con lo sviluppo puberale a causa del variare della flora batterica. Anche se le macchie sono  particolarmente antiestetiche, questi batteri non sono assolutamente patogeni.

La soluzione sta in periodiche sedute di igiene professionale dal dentista poiché tale colorazione tende ad riapparire frequentemente. Un valido aiuto sembra essere rappresentato dall’assunzione di preparati probiotici a base di Lattoferrina che, sottraendo ferro all’ambiente, inibisce la formazione di BS. Ulteriori studi saranno necessari in tal senso.

L’aspetto positivo è che sembra che  i soggetti affetti da BS sono più protetti dai processi cariosi rispetto ai soggetti sani.
Ciò potrebbe dipendere da:
– una predominanza significativa di batteri cromogeni rispetto ai batteri responsabili della carie;
– Effetto cariostatico del ferro: studi recenti hanno dimostrato che il ferro ha la capacità di ricoprire la superficie smaltea con una serie di strati che forniscono protezione dai prodotti acidi;
– Capacità tampone della saliva: studi recenti hanno dimostrato una maggiore capacità tampone della saliva dei soggetti con BS. Ciò causa migliori relazioni biochimiche durante il processo di demineralizzazione-remineralizzazione esercitando, quindi, un impatto positivo nella protezione dalla carie.

Si consiglia comunque  una visita dal proprio dentista per accertare la diagnosi di questa problematica e per ricevere consigli e indicazioni in merito.

 

Lo studio dentistico Sanbenedetto srl (Direzione sanitaria dottoressa Angela Morra, Aut n. 155 comune di San benedetto del Tronto) si trova in via Puglia 70, a San Benedetto del Tronto. Per informazioni chiama il numero 329 207 8076. Per visitare la pagina facebook clicca www.facebook.com/sanbenedettosrl

L’attesa sta per terminare! Presto Habanero Mexican arriverà a casa tua!

Quanto ti è mancato Habanero Mexican?

Tra poco potrai riassaporare il gusto del messico, direttamente a casa tua!

 

Habanero Mexican Grill & Tacos si trova in via Bezzecca 19 a San Benedetto del Tronto. Per info e prenotazioni: 345 579 7542

Per visitare la pagina facebook clicca http://m.facebook.com/habaneromexicanfood

 

Fish Bar “La Bitta”, il meglio del mare a domicilio e d’asporto!

Fish Bar “La Bitta” ti porta in tavola la bontà del mare, grazie al servizio di consegna a domicilio.

Ti basterà chiamare il numero 0735 380041 o scrivere sui social del locale e La Bitta sarà pronta a consegnarti i tuoi piatti preferiti sia a pranzo che a cena.

Con ordini pari o superiori a 40 euro una bottiglia di vino in omaggio!

Ecco il menù:

L'immagine può contenere: testo

Da questa settimana, è attivo anche il servizio take away! Fai il tuo ordine, fissa un orario e vai a ritirarlo direttamente al locale. Con spesa pari o superiore a 40 euro, in omaggio un menù ( antipasto bitta + panino di mare )

 

La Bitta fish bar si trova in via Palestro 23, a San Benedetto. Per visitare la pagina facebook clicca: https://www.facebook.com/La-BITTA-Fish-Bar-986186868074655/

Noleggiare auto e furgoni è semplice con Consorti Multiservice e Maggiore Rent

Hai bisogno di noleggiare un’auto o un furgone?

Con Consorti Multiservice e Maggiore Rent è semplice!

Servizio cordiale, auto nuove e prezzi economici sono parte integrante dell’offerta quotidiana. Sia che tu stia noleggiando un’auto per la tua attività commerciale o per uso privato, o nel caso abbia bisogno di un furgone, Maggiore Rent ha la soluzione di noleggio adatta a te.

“Siamo orgogliosi di essere la prima azienda di noleggio auto a San Benedetto. Da noi troverai solamente auto nuove e di ultima generazione a prezzi low-cost!” Parola di Consorti Multiservice e Maggiore Rent.

Maggiore Rent non vede l’ora di potersi mettere a tua disposizione presso la sua filiale di noleggio di San Benedetto del Tronto, Corso Mazzini 217 . Per informazioni chiama il numero 0735586016. Email sanbenedetto@maggiorerent.it

Per visitare la pagina facebook clicca https://www.facebook.com/consortimultiserviceh24/

Si torna al cinema con il drive-in! Ecco l’idea di Oriana Simonetti

Arriva un nuovo modo di organizzare il vostro divertimento!

Oriana Simonetti, da 30 anni titolare di un’agenzia di eventi, spettacoli e fiere, lancia una proposta per divertirsi anche in tempi di Coronavirus: il cinema con il drive in, proprio come in passato!

Un drive-in è un locale pubblico (come un ristorante, un cinema, un teatro) in cui si può ricevere il servizio rimanendo in automobile.

L’idea di Oriana Simonetti è rivolta a comuni, pro loco, centri commerciali, ristoranti, chalet, bar e pizzerie: il cliente prende l’ordinazione e può consumarla in auto!

Il risultato? I commercianti della città ne traggono vantaggio e la gente torna a socializzare proprio come negli anni’30!

Come nasce e che cos’è il drive in?

Il primo drive-in è nato il 6 giugno 1933: il signor Hollingshead montò un proiettore 128 Kodak sul cofano della sua auto, proiettando le immagini su un telo attaccato a due alberi. Brevettò poi l’idea nel maggio 1933 ed aprì il suo drive-in tre settimane dopo.

In seguito, Drive In è stato un programma televisivo di genere commedia ideato e scritto da Antonio Ricci, trasmesso con cadenza settimanale in prima serata, dal 1983 al 1988 su Italia 1. Riscosse un grande successo, entrando nel costume nazionale del tempo, contribuendo a portare alla ribalta numerosi personaggi dello spettacolo italiano e divenendo uno dei programmi-simbolo della televisione italiana degli anni Ottanta. In onda inizialmente con puntate di una sola ora, dato il grande riscontro vide presto raddoppiare la sua durata, raggiungendo punte di otto milioni di spettatori.

Il progetto di drive-in di Oriana Simonetti

Servizi forniti:

  • Struttura con 4 elevatori, 2 posteriori e 2 anteriori
  • Maxi schermo della dimensione 4 x 4
  • Impianto audio con casse
  • Traliccio per sostenere il proiettore
  • Proiettore di ultima generazione
  • Tecnico audio
  • Tecnico video
  • Films degli anni 1933 ad oggi

Per maggiori informazioni: Oriana Simonetti 3472629136

L’agenzia Oriana Grandi Eventi si trova in via Pontida 6 a San Benedetto del Tronto. Per visitare la pagina facebook clicca www.facebook.com/Oriana-Grandi-Eventi-Agenzia-di-moda-e-spettacolo